14.08.2024

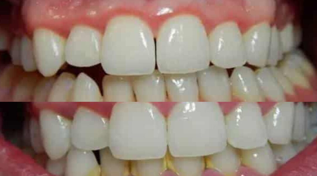
A Tip to Remove Tartar, Gingivitis and Whiten Teeth Naturally

By Lilias

Welcome Tips A Tip to Remove Tartar, Gingivitis and Whiten Teeth…

Many bacteria naturally populate our mouth and some of them are harmful to our health, such as streptococci which can cause several diseases and infections. These bacteria accumulate on the surface of the teeth, thus promoting the appearance of dental plaque. Here is how to get rid of them with this natural tip.

Causes of tartar

  • A diet too rich in sugar, acids and bad fats will promote the formation of tartar. So, eat more fruits and vegetables!
  • Poor oral hygiene is not the main cause of tartar deposits, but it is still largely responsible. Brush your teeth properly three times a day
  • Coffee, black tea and tobacco also contribute to the buildup of bacteria and stains on your enamel.

Ingredients

  • 4 teaspoons sunflower seeds
  • 4 teaspoons of lime blossom
  • 1 liter of water

Preparation

  1. Put the ingredients in a saucepan, cover with water and simmer for half an hour.
  2. Brush your teeth with this mixture after each meal.

Additional Tips

  • Brush your teeth with a soft brush, after each meal for about 5 minutes. Make sure to brush all teeth and molars thoroughly.
  • Use a mild toothpaste that will not affect the pH of your mouth.
  • It is also advisable to sometimes use mouthwashes after brushing. You can use natural products, such as thyme, cloves or salt water.